The data below is described in:


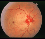
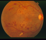
Twenty images used for experiments:

image 0001 image 0002 image 0003 image 0004 image 0005 image 0044 image 0077 image 0081 image 0082 image 0139 image 0162 image 0163 image 0235 image 0236 image 0239 image 0240 image 0255 image 0291 image 0319 image 0324

The twenty images are available packaged in a single archive file (tar format) containing compressed (using gnuzip) portable pixmap (PPM) format images.


Hand labeled vessel network provided by Adam Hoover

image 0001 image 0002 image 0003 image 0004 image 0005 image 0044 image 0077 image 0081 image 0082 image 0139 image 0162 image 0163 image 0235 image 0236 image 0239 image 0240 image 0255 image 0291 image 0319 image 0324

The hand labelings are available packaged in a single archive file (tar format) containing compressed (using gnuzip) portable pixmap (PPM) format images.


Hand labeled vessel network provided by Valentina Kouznetsova

image 0001 image 0002 image 0003 image 0004 image 0005 image 0044 image 0077 image 0081 image 0082 image 0139 image 0162 image 0163 image 0235 image 0236 image 0239 image 0240 image 0255 image 0291 image 0319 image 0324

The hand labelings are available packaged in a single archive file (tar format) containing compressed (using gnuzip) portable pixmap (PPM) format images.


Sample results as produced by our matched spatial filter probing algorithm (described in above paper)

image 0001 image 0002 image 0003 image 0004 image 0005 image 0044 image 0077 image 0081 image 0082 image 0139 image 0162 image 0163 image 0235 image 0236 image 0239 image 0240 image 0255 image 0291 image 0319 image 0324

Some of our results (those with the 4th parameter set - see the paper) are available packaged in a single archive file (tar format) containing compressed (using gnuzip) portable pixmap (PPM) format images. For those interested, the intermediate results (the matched spatial filter output, that we call MSF) are available packaged in a single archive file (tar format) containing compressed (using gnuzip) portable pixmap (PPM) format images.


Demonstration: